Отклонения
Выпадение и рост редко протекают со сложностями, но проблемы возможны:
- Нарушения сроков. Изменения обуславливаются индивидуальными факторами. Если отсутствуют неприятные симптомы, жалобы ребенка на боль, неудобство, для волнений нет причины. Но раннее выпадение провоцирует нарушения прикуса: соседние зубки стремятся занять освободившееся место. Врач, проведя диагностику, примет решение об установке протеза.
- Ретенция (остановка прорезывания) возникает из-за неправильной закладки, отсутствия места, воспалительных процессов, преждевременного удаления молочек. Ортопантограмма (рентгеновское исследование) обнаружит причину ретенции. Для лечения используется аппаратный метод, стимулирующий прорезывание, при отсутствии результатов проводится операция.

Профилактика ретенции – контроль над состоянием молочных зубов, устранение кариеса.
Профилактика ретенции – контроль над состоянием молочных зубов, устранение кариеса. Если потребовалось удаление раньше срока, рекомендуется установить детские протезы: мягкие временные, легко снимающиеся конструкции.
3. Признаки воспаления. Обычно процесс смены проходит безболезненно: десны подготовлены к росту массивных единиц, корни молочек у детей рассасываются постепенно. Если зубы выпадают с появлением отека, подъемом температуры, сильной болью, отправляйтесь в зубной кабинет: симптомы сопровождают воспалительный процесс.
Облегчить состояние детей помогут рекомендации:
- Расшатывать качающийся зуб, ускоряя выпадение, можно. Шатать крепкие единицы нельзя. Стоматология оперирует понятием «пространственного баланса», для сохранения которого не надо ускорять естественный процесс.
- Когда молочки не выпадают, а рядом появляется новый зуб, обратитесь к врачу: он может вырасти криво или во втором ряду.
- После выпадания появляется кровоточащая ранка. На время стоит отказаться от жесткой пищи, газированных напитков, пряностей, раздражающих слизистую. Прижигать раны спиртом, зеленкой, перекисью водорода запрещается.
- Пустые места на деснах вызывают трудности с жеванием. Предлагайте ребенку протертую, мягкую пищу, чтобы непрожеванные куски не попадали в желудок, нарушая работу.
- В период смены высока потребность в фосфоре, защищающем от кариеса, и кальции. Расширьте детский рацион большим количеством блюд из рыбы, творога, молочными продуктами.
- Ограничьте сладости. Кислота, остающаяся после их употребления, разъедает тонкую эмаль, провоцируя появление кариозных полостей.
- Выбирайте детские пасты, содержащие специально подобранную комбинацию кальция и фтора.
Важно прививать детям правильные навыки гигиены, объяснять важность ежедневных процедур. К школьному возрасту ребенок должен уметь ухаживать за ротовой полостью: пользоваться щеткой, пастой, нитью
- Гайворонский И.В., Петрова Т.Б. Анатомия зубов человека. Санкт-Петербург, 2005.
- Персин Л.С. Стоматология детского возраста. Москва, 2003.
Порядок и сроки смены молочных зубов на постоянные
Традиционная схема смены молочных зубов детей на постоянные выглядит так:

В возрасте с 6 до 8 лет появляются первые моляры и центральные резцы, боковые резцы прорезаются с 7 до 9 лет. Смена клыков у детей наблюдается с 9 до 12 лет, нижние клыки обычно появляются раньше верхних. Примерно в этом же возрасте начинается рост вторых моляров, третьи не подчиняются общему правилу, в перечне они последние – их появление может произойти в возрасте от 17 до 26 лет или не произойти вовсе.
Стоит отметить, что на фото приведена примерная очередность прорезывания и выпадения молочных зубов. Небольшие отклонения не могут расцениваться как аномалия развития. На то, в каком порядке будет происходить смена молочных зубов на постоянные, могут повлиять следующие факторы:
- продолжительность грудного вскармливания;
- постоянно циркулирующие в организме инфекции;
- особенности течения беременности, хронические болезни мамы малыша;
- генотип.
Ранняя потеря молочных зубов
Срочное удаление по терапевтическим показаниям (разрушение вследствие разрастания кариозных очагов, воспалительные процессы пародонта) и травмы являются самыми распространенными причинами ранней потери молочных зубов. Казалось бы, временные зубы все равно покинут свои места, но стоматологи предупреждают родителей об опасности, связанной с преждевременным освобождением челюсти от молочных зубов.
Речь идет о возможности занятия неправильного положения коренными зубами. Дело в том, что после несвоевременной утери зуба зубной ряд начинает постепенно сдвигаться, заполняя образовавшееся пространство близлежащими зубами. Занимая часть свободного места, они могут расположиться над зачатком постоянного. В этом случае постоянный зуб испытывает трудности с прорезыванием и занимает неправильное положение перед появлением.

Избежать последствий поможет регулярное наблюдение детского стоматолога. Ортодонтическое лечение, рентген, обращение к челюстной хирургии – все это лишь часть манипуляций, которые может посоветовать доктор в подобных ситуациях.
Поздняя смена
Сроки смены молочных зубов на постоянные могут сдвигаться на более поздний период из-за генетической предрасположенности, скудного рациона и неполноценного питания, при котором малышу недостает поступающих извне минералов и микроэлементов. Напрямую задержка зависит от:
- наличия в организме активных инфекций;
- степени проявления хронической диспепсии;
- предрасположенности к рахиту.
Зачатки коренных зубов могут разрушаться или вовсе не развиваться, признаком отклонения служит устойчивый молочный прикус. Если к 8–9 годам у ребенка не шатаются и не выпадают временные зубы, впору задуматься об аномалии. Родителям стоит немедленно показать ребенка стоматологу.
Особые ситуации
Процесс смены зубов у детей любого возраста физиологичен и не должен причинять дискомфорт. Боль и недомогание – признаки воспалительных процессов, за которыми должен наблюдать врач. Поэтому при повышении температуры, нагноении, избыточной гиперемии десен нужно обязательно обратиться в стоматологию.
К особым случаям, наблюдаемым при смене прикуса, относятся:
- Отсутствие постоянных зубов после выпадения молочных.
- Появление и активный рост постоянных зубов до выпадения молочных.
В первом случае причинами могут стать адентия – отсутствие зубов и зачатков в челюсти, и ретенция – процесс, при котором происходит задержка прорезывания. Выяснить, почему прикус редеет, но не восполняется, может только врач. Во втором случае речь идет об «акульих зубах». Многие стоматологи не считают рост коренных зубов до выпадения молочных признаком аномального развития. Практика показывает, что со временем молочный прикус исчезает, а элементы постоянного постепенно занимают нужное положение.

На фото «акульи зубы»
Смена молочных зубов у детей строго по таблице со сроками – большая редкость. Доктора допускают небольшие отклонения и в порядке, и в сроках. Главное, обеспечить ребенку постоянное наблюдение у профессионала и тщательный уход еще до того, как начнется смена.
Возможные патологии
- перенесенные инфекционные заболевания;
- наследственный фактор;
- неправильное питание;
- неправильная работа эндокринной системы;
- нарушение внутриутробного развития вследствие болезни матери;
- смена климатических условий проживания;
- недолгое или длительное кормление грудью;
- врожденные или хронические патологии;
- челюстно-лицевая травма.
Коренной зуб растет вторым рядом
В некоторых случаях молочные единицы долго не выпадают и мешают прорезыванию новых. Такая ситуация опасна тем, что коренные зубы могут начать прорастать в обход старым единицам. У ребенка образуется неправильный прикус или зубки вырастают кривыми. При выявлении патологии необходимо обратиться к специалисту, чтобы удалить помеху.
Причины долгого рассасывания молочных единиц:
- генетическая предрасположенность;
- врожденные заболевания;
- отсутствие зачатков постоянных зубов;
- рахит.
Очень редко на месте будущего зуба образуется гематома в виде багрового или синего пузырька на краю десны. Такое явление бывает у детей с плотными слизистыми оболочками. Это образование причиняет ребенку дискомфорт.

Если после выпадения сменного зуба появилось воспаление, следует показать малыша врачу. Родители должны помнить, что правильный уход за молочными зубами – залог здоровья постоянных. Приучать детей к гигиене нужно начинать при появлении первого зуба.
К тому же, у ребенка могут быть выявлены различные патологии:
- Рахит. Заболевание развивается при недостаточном поступлении в организм витамина Д. Кальций не успевает усваиваться, а ведь именно он выступает в качестве главного элемента для развития зубной единицы и ее роста.
- Адентия. Врожденная патология, подразумевающая отсутствие зачатков зубов. Наличие болезни выявляется путем рентгенографии.
- Неправильный прикус. Аномалия возникает при неравномерном развитии зубочелюстного аппарата, часто вследствие длительного использования пустышек и бутылочек с сосками для кормления.
- Неправильная последовательность зубного ряда. Проявляется по причине маленького размера челюсти, которая из-за опухоли или травм не может нормально развиваться.
- Прорезывание костной единицы вне зубного ряда. Аномалия может быть вызвана некорректной осью зуба (он может располагаться косо или горизонтально).
- Задержка зуба в кости. Если костная единица увеличивается, но не пробивается сквозь десну, это может вызвать повреждение корней и сосудов уже прорезавшихся молочных зубов или зачатков коренных (см. также: десны у младенца в период прорезания зубов: фото). Наиболее эффективным лечением является удаление неправильно растущей единицы.
- Гипоплазия. Заболевание видно невооруженным глазом, когда на поверхности десны появляется коронка прорезающегося зуба. На нем есть пятна от белого до бурого цвета, ямки, борозды, расположенные по горизонтали. Причинами недуга являются заболевания матери в период вынашивания плода или тяжелые роды.
Прорезывание зубов намного позже срока может быть особенностью организма малыша, а может возникать по причине различных заболеваний, поэтому здесь будет не лишней консультация педиатра и стоматолога
Когда родителям нужно обратиться к врачу? Если в 11-13 месяцев у карапуза нет ни одного зуба, то это может свидетельствовать о нарушениях в развитии, спровоцированных различными заболеваниями малыша или матери при беременности. Первым делом стоит посетить педиатра.
Ортопедическая стоматология
- Ортопедическая стоматология
- Зубопротезная лаборатория
- Обезболевание при протезировании зубов
- Зубное протезирование, челюстно-лицевая ортопедия и ортодонтия
- Функциональная анатомия челюстно-лицевой системы
- Обследование больного в клинике ортопедической стоматологии
- Подготовка полости рта к протезированию
- Оттиски и оттискные материалы
- Клиника и протезирование дефектов коронки зуба
- Клиника и подготовка к протезированию при частичной потере зубов
- Протезирование частичной потери зубов несъемными мостовидными протезами
- Протезирование частичной потери зубов съемными протезами
- Клиника и ортопедическое лечение патологической стираемости зубов
- Ортопедическое лечение пародонтоза
- Клиника и протезирование при полном отсутствии зубов
- Ортодонтия — методоы лечения и профилактики стойких аномалий зубочелюстной системы
- Жевательный аппарат детей
- Анатомические особенности полости рта новорожденного
- Молочный прикус
Сроки прорезывания молочных зубов
- Сменный прикус
- Постоянный прикус
- Отличия молочнх зубов от постоянных
- Определение аномалий
- Этиология и патогенез основных зубочелюстных аномалий
- Патология зубочелюстной системы одонтогенного и неодонтогенного происхождения
- Диагностика зубочелюстных аномалий, методы исследования ортодонтических больных
- Специальное исследование больного
- Многообразие аномалий зубочелюстной системы и их классификация
- Основные принципы и методы профилактики и лечения аномалий зубочелюстной системы
- Тканевые реактивные изменения в зубочелюстной системе при ортодонтическом лечении аномалий
- Об ортодонтических силах
- Клиника и лечение аномалий зубочелюстной системы
- Челюстно-лицевая ортопедия
- Аллергические заболевания в ортопедической стоматологии
- Протезирование при полной потере зубов
- Быстротвердеющие пластмассы в зубном и челюстном протезировании
- Механизм развития и способы устранения зубочелюстных деформаций
- Пломбирование зубов литыми вкладками
- Подготовка зубов к пломбированию и протезированию
- Ортопедическая геронтостоматология
- Конструкции ортопедических аппаратов
- Ортодонтия
- Деформации зубных рядов
- Ортодонтия и протезирование в детском возрасте
- Зубное и челюстное протезирование у детей
- Материаловедение в стоматологии
Раннее выпадение зубов
Временные зубы должны выполнять свой долг до появления новых, коренных. Родители не придают особого значения несвоевременному выпадению зубов ребенка. Доктора-стоматологи придерживаются иного мнения. Костная ткань, не укрепленная молочным зубом, имеет свойство деформироваться, что приводит к возможному искривлению и неправильного расположению зуба постоянного. Он просто не найдет своего места из-за зарастания лунки. (Про альвеолит лунки зуба можно ознакомиться тут)
Детские стоматологи относятся с осторожностью к удалению молочных зубов. Это делается только по строгим показаниям, когда зуб полностью разрушен и спасти его не удастся
Кариес молочных зубов не является показанием к избавлению от пораженного им зуба, хороший доктор пытается провести лечение, способное остановить или замедлить этот процесс, обучает родителей правилам гигиены ротовой полости для такого случая.
Если зуб выпал раньше времени и на этом месте не видно проклевывания постоянного – обратитесь за советом к врачу-ортодонту. Возможно, он сможет предложить современное стоматологическое средство, которое решит такую важную проблему. Зачастую используют такое приспособление, как держатель места для зуба.
Волноваться не стоит, если на месте выпавшей единицы уже появляется новая – значит, раннее выпадение обусловлено какими-то наследственными факторами и патологией не считается.
Чем помочь малышу, когда у него режутся зубы. Как ухаживать за молочными зубами
Когда начинается прорезывание молочных зубов, периодически массируйте десну чистым пальцем или холодной чайной ложкой там, где наблюдается припухлость. Почаще поите малыша между кормлениями, это способствует выведению из организма продуктов травматического повреждения тканей десны и болезнетворных микроорганизмов. Дайте малышу специальное зубное колечко – стимулятор прорезывания зубов (оно должно быть чистым и желательно прохладным, чтобы уменьшить отек и воспаление десны и облегчить боль). Используйте для обработки десен специальные обезболивающие стоматологические гели, капли, мази (Baby Oral Relief Gel, Калгель, Дентинокс, Анбесол и т.п.) Защищайте кожу малыша от раздражения обильно выделяющейся слюной, регулярно протирайте гигиенической салфеткой лицо, шею, используйте защитный крем; чаще меняйте промокшую одежду, наденьте «слюнявчик», подкладывайте малышу под голову пеленку для впитывания стекающей слюны.
Первый зуб обычно появляется в 6-8 месячном возрасте, хотя у некоторых детей он вырастает только к году. Как только первый зуб появится, начинайте протирать его мягкой тряпочкой
Примерно с года начинайте осторожно чистить ребенку зубы кипяченой водой 1 раз в день специальной мягкой щеточкой, которая одевается на мамин палец. Когда ребенок научится сплевывать, начинайте использовать малое количество детской зубной пасты
Превратите чистку зубов в увлекательную игру. Купите сразу три зубные щетки, чтобы малыш мог держать по щетке в каждой руке, пока вы третьей чистите ему зубы. После года не помешает сводить ребенка к стоматологу. Двухлетнего ребенка можно понемногу учить чистить зубы самому, хотя большую часть работы все равно придется выполнять вам. Постарайтесь с ранних лет приучить ребенка к регулярной и правильной чистки зубов.
Сроки прорезывания коренных зубов у детей
По статистическим данным, у большинства малышей формирование постоянного прикуса начинается в возрасте 5-6 лет. К 12-15 годам зубной ряд у основной массы деток обновляется полностью. При этом постоянные резцы, клыки и премоляры обычно вырастают в том порядке, в котором выпадают их молочные «предшественники».
Немного позже начинается прорезывание «дополнительных» зубов. Так называют постоянные моляры, не имеющие молочных «аналогов». Например, «зубы мудрости» (крайние в рядах) могут начать рост, когда ребенок будет совершеннолетним. Многие люди, далекие от медицины, считают, что прорезывание последних моляров в зрелом возрасте (после 30 или позже) – нормальное явление. Какое мнение специалистов по этому поводу?
По данным ВОЗ
Существует ли официально зарегистрированная возрастная норма для прорезывания постоянных зубов? Данные, представленные Всемирной организацией здравоохранения, приведены в таблице ниже.
| Зубы | Нумерация (по системе FDI) | Возрастная норма прорезывания | |
| в верхнем ряду | в нижнем ряду | ||
| Центральные резцы | 11, 21 | 31, 41 | 6-8 лет |
| Боковые резцы | 12, 22 | 32, 42 | 8-9 лет |
| Клыки | 13, 23 | 33, 43 | 10-11 лет |
| Первые премоляры | 14, 24 | 34, 44 | 9-10 лет |
| Вторые премоляры | 15, 25 | 35, 45 | 11-12 лет |
| Первые моляры | 16, 26 | 36, 46 | 6 лет |
| Вторые моляры | 17, 27 | 37, 47 | 12-13 лет |
| Третьи моляры | 18, 28 | 38, 48 | 18-25 лет |
Как видно из таблицы, стоматологи во всем мире считают, что полноценный зубной ряд у ребенка должен сформироваться уже к 13 годам, и только появление третьих моляров может затянуться до совершеннолетия. Однако не все авторитетные специалисты в полной мере согласны с этой общепринятой точкой зрения.
По мнению Т.Ф. Виноградовой
Автор популярного медицинского пособия «Стоматология детского возраста» проводила свои собственные, независимые от ВОЗ, исследования. Их результаты в некоторой степени отличаются от мировой статистики. По мнению Виноградовой, нормальные сроки для формирования постоянного зубного ряда у детей следующие:
| Зубы | Нижняя возрастная граница (лет) | Верхняя возрастная граница (лет) |
| Центральные резцы | 5 | 6 |
| Боковые резцы | 7 | 9 |
| Клыки | 12 | 13 |
| Первые и вторые премоляры | 9 | 11 |
| Первые моляры | 4 | 6 |
| Вторые моляры | 12 | 13 |
| Третьи моляры | 18 | 25 |
Чем обусловлены такие отличия в конкретных цифрах у разных исследователей? Возможно влияние нескольких факторов:
- Временной. Статистика ВОЗ обновляется почти ежегодно. Т.Ф. Виноградова закончила свое масштабное исследование в 1982 году. За прошедший период могли произойти определенные изменения.
- Территориальный. Исследование Виноградовой относилось только к данным, собранным на территории СНГ. ВОЗ одновременно оценивает ситуацию в разных странах, что делает собранную статистику не совсем актуальной для России.
В пользу второго довода также говорит тот факт, что исследование известного ортодонта Л.С. Персина, в котором он почти через два десятка лет повторил работу Виноградовой, практически полностью подтвердило сделанные детским стоматологом выводы. В частности, неизменной осталась схема, иллюстрирующая порядок, в котором меняются резцы, клыки и моляры.
Ортодонт и прикус ребенка
Чтобы избежать проблем с зубами, нужно следовать основным рекомендациям стоматологов и правилам личной гигиены. Специалисты в качестве основных мер профилактики рекомендуют:
- проводить чистку зубов дважды в день (утром и вечером через 30 минут после приема пищи);
- чистить зубы не менее 3 минут, выполняя круговые движения зубной щеткой;
- для качественной обработки ротовой полости использовать специальные ополаскиватели для рта;
- при первых признаках кариозного поражения сразу же обращаться в стоматологическую клинику.
Правильно и вовремя сформированный прикус играет большую роль в нормальном развитии организма ребенка. Нарушение сроков прорезывания зубов (раннее или позднее), очередности, а также отсутствие того или иного зуба требуют привлечения внимания педиатра и стоматолога, так как являются свидетельством патологии не только местного, но часто и общего характера (результат перенесенных матерью заболеваний в период беременности, либо каких-то аномалий в здоровье самого ребенка).
В более взрослом периоде — к 6,5 годикам начинают появляться первые коренные зубы у ребенка. Здесь уже дантист-ортодонт сможет активно устранить причину, которая приводит к формированию неправильного прикуса, и возникающих от этого проблем. Чем можно вылечить прикус у детей? Решению проблем прикуса служат всевозможные ортодонтические системы – брекеты, пластинки, трейнеры, элайнеры, каппы.
- Увеличение промежутков между зубами. Это характерный процесс при переходи с молочных на постоянные зубы. Кроме того, всегда стоит проходить профилактические осмотры и ортодонт определит, если промежуток неправильный.
- Желто-коричневое окрашивание эмали зубов чаще всего связано с тем, что матери были назначены антибиотики на том этапе беременности, когда формировались зубы ребенка.
- Желто-зеленоватое окрашивание, если характерны процессы нарушения обмена веществ или неправильная работа эндокринной системы организма ребенка;
- Красное окрашивание зубов также характерно при нарушениях процесса обмена веществ, в данном случае это порфирин;
- Черноватая окантовка на шейке зуба может появляться при приеме препаратов, которые насыщены железом; еще один вариант – некий хронический воспалительный процесс;
- Аномалии прикуса возникают, если у ребенка долго не отнимают соску;
- Аномалии расположения зубов возникают по конституциональным причинам, из-за полученных травм, при врожденном нарушении обмена соединительной ткани, при опухолях альвеолярного отростка челюсти.
Отсутствие зубов до 1 года крайне редко связано с адентией – отсутствием их зачатков. Проверить наличие зубных зачатков можно с помощью специального метода радиовизиографии по назначению детского стоматолога.
Прорезывание зубов у детей – важный этап развития и организма в целом, и зубочелюстной системы в частности
Важно следить за правильным развитием молочных зубов, при необходимости обращаться к детскому стоматологу. Берегите здоровье малыша и будьте здоровы!
Какие проблемы могут возникнуть в период смены зубов
Проблем, когда у детей лезут коренные зубы, может возникнуть много. К самым распространенным осложнениям можно отнести:
- Отсутствие постоянных зубов.
- Рост постоянного зуба до выпадения временного.
- Боль в коренном зубе.
- Выпадение коренного зуба.
На каждый случай у стоматологов есть решение, нужно только вовремя обнаружить проблему и обратиться за помощью. Два последних явления возникают из-за низкой минерализации твердой ткани, причем такие аномалии проявляются независимо от того, во сколько лет лезут коренные зубы.
Почему после выпадения молочного зуба коренной долго не растет
Как только у ребенка выпал молочный резец, клык или моляр, на десне обычно уже можно нащупать коренной. Даже если это не так, то в течение недели он должен появиться. Если уплотнения нет, значит, молочный зуб выпал слишком рано. Многие дети расшатывают зубки, иногда и сами родители принимают участие в их вырывании.
В худшем случае подобный симптом может говорить об адентии. Такая патология встречается крайне редко, она обуславливается серьезным нарушением минерализации еще во внутриутробном возрасте. Иногда недуг появляется уже при жизни из-за инфекционных заболеваний. Проблема легко решается протезированием.

Еще одной причиной нарушения может послужить физиологическая задержка роста тканей. Прорезывание всех постоянных зубов при такой патологии заканчивается гораздо позже чем обычно. Если стоматолог обнаружит подобный дефект, он посоветует сделать съемный протез. Если не воспользоваться советом, постоянные резцы и клыки вырастут искривленными.
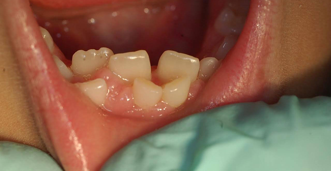
Чем опасен рост коренных зубов до выпадения молочных
Обычно рост коренного зуба приводит к расшатыванию молочного, но бывают и исключения. Понять, что прикус сменяется неправильно, можно при наличии всех признаков прорезывания, о которых говорилось ранее, не сопровождающихся расшатыванием молочных резцов или клыков.
Такая проблема при росте постоянного зубика может привести к ряду проблем:
- Резец или клык начинает искать другой путь для прорезывания. В таком случае коренные зубы у детей растут так, как на фото справа. Моляры и премоляры обычно все же вылезают из десны, искривляя весь зубной ряд.
- Сам резец или клык может сильно искривиться. Он начинает изгибаться в разные стороны, причем еще до полного прорастания.
- Покраснение, зуд и боль становятся более ощутимыми. Из-за этого очень часто в поврежденную область попадают бактерии. Может начаться инфекция, которая перерастет в кисту или свищ.
- Если у ребенка появляются коренные зубы, когда молочные еще на месте, обратитесь к стоматологу. Он сможет сразу обнаружить проблему и провести удаление препятствующего росту постоянного зуба «молочника».
Возможные причины задержки
К тому же, у ребенка могут быть выявлены различные патологии:
- Рахит. Заболевание развивается при недостаточном поступлении в организм витамина Д. Кальций не успевает усваиваться, а ведь именно он выступает в качестве главного элемента для развития зубной единицы и ее роста.
- Адентия. Врожденная патология, подразумевающая отсутствие зачатков зубов. Наличие болезни выявляется путем рентгенографии.
- Неправильный прикус. Аномалия возникает при неравномерном развитии зубочелюстного аппарата, часто вследствие длительного использования пустышек и бутылочек с сосками для кормления.
- Неправильная последовательность зубного ряда. Проявляется по причине маленького размера челюсти, которая из-за опухоли или травм не может нормально развиваться.
- Прорезывание костной единицы вне зубного ряда. Аномалия может быть вызвана некорректной осью зуба (он может располагаться косо или горизонтально).
- Задержка зуба в кости. Если костная единица увеличивается, но не пробивается сквозь десну, это может вызвать повреждение корней и сосудов уже прорезавшихся молочных зубов или зачатков коренных (см. также: десны у младенца в период прорезания зубов: фото). Наиболее эффективным лечением является удаление неправильно растущей единицы.
- Гипоплазия. Заболевание видно невооруженным глазом, когда на поверхности десны появляется коронка прорезающегося зуба. На нем есть пятна от белого до бурого цвета, ямки, борозды, расположенные по горизонтали. Причинами недуга являются заболевания матери в период вынашивания плода или тяжелые роды.
Прорезывание зубов намного позже срока может быть особенностью организма малыша, а может возникать по причине различных заболеваний, поэтому здесь будет не лишней консультация педиатра и стоматолога
Отсутствие молочных зубов к году настораживает родителей и педиатров. Причиной задержек в формировании жевательного аппарата являются следующие факторы:
- Дефицит кальция. В годик нет молочных зубов у детей, болеющих рахитом. Кальций может не усваиваться из-за сбоев в работе ЖКТ, нарушений обменных процессов.
- Наследственность. Если у одного или обоих родителей резцы появились поздно, то их дети наследуют такую же особенность. Ускорять природный процесс не получится.
- Адентия. Зачатки зубиков в челюсти отсутствуют. Адентия может быть полной и частичной. Посмотреть, сколько зачатков зубов есть в челюсти, можно на рентгеновском снимке. Процедуру назначает стоматолог.
- Гормональные нарушения. Сбои в работе щитовидки сдвигают сроки развития младенца.
- Инфекционные заболевания в раннем возрасте. Перенесенные болезни влияют на обеспеченность организма нужными витаминами, минералами, сбивают ритм развития.
- Недоношенность. У детей, рожденных раньше положенного срока, нередко все физиологические процессы задерживаются на один–два месяца.
Виды постоянных зубов и их отличия от молочных
Зубы выполняют функцию измельчения пищи и участвуют в процессе речи. Они отличаются по форме и характеристикам, поскольку имеют разное предназначение. Одни – помогают откусывать пищу, другие – отрывать куски еды, третьи – раздавливать и перетирать, четвертые – измельчать и перемалывать. Выделяют следующие виды постоянных зубов:
- Резцы. Располагаются по центру каждой челюсти – 4 верхних и 4 нижних.
- Клыки. Вырастают возле резцов – по 2 сверху и снизу.
- Премоляры или малые моляры. В каждом ряду – по 4 зуба.
- Моляры или большие моляры. Расположены по краям челюсти. Верхние по форме отличаются от нижних. У взрослого их от 4 до 6 штук.
У человека вырастает 28-32 зуба. Третьи моляры – «зубы мудрости» у некоторых людей могут не прорезаться вовсе. Схема расположения постоянных единиц представлена на фото. Количество молочных и постоянных зубов отличается. У маленьких детей по 8 моляров, 8 резцов и 4 клыка.
По своему строению и виду первые детские зубки схожи с постоянными. Однако они имеют следующие отличия:
- Коренные зубы выше и шире.
- Молочные – белого цвета. Вместо них вырастают единицы желтоватого оттенка.
- Корни постоянных зубов длиннее.
- Коренные зубки, в отличие от их предшественников, не выпадают самостоятельно.
- Толщина эмали «молочников» в 2 раза меньше, а нерв имеет больший размер.
- Здоровые коренные зубы не должны стираться, для молочных – это норма.
Ошибочно мнение, что формирование постоянных зубов происходит в процессе рассасывания корешков молочных единиц. Зачатки сменных и коренных зубов появляются у ребенка еще в утробе матери. Однако так называемые взрослые зубы находятся выше молочных, корень которых достаточно широк, чтобы не мешать своим младшим собратьям расти.

Панорамный снимок зубов ребенка, где четко видно закладку корешков постоянных зубов
Сроки формирования корешков постоянных зубов:
- верхние центральные резцы – 9-13 лет;
- нижние центральные резцы – 7-11 лет;
- верхние боковые резцы – 9-12 лет;
- нижние боковые резцы – 8-11 лет;
- корни клыков обычно полностью сформированы к 9-12 годам;
- премоляры – 11-13 лет;
- первые моляры – 9-13 лет;
- корешки вторых моляров – к 14-15 годам;
- корни третьих моляров не имеют определенных сроков прорезывания и формирования корня.
После того как у ребенка прорезались первые зубки, их корни продолжают некоторое время расти вглубь десны. Когда малышу исполняется 2 года, зубные единицы прекращают свой рост.
Постепенно корни начинают уменьшаться в размерах. Полное рассасывание корней молочных зубов происходит в 5-6 лет. К этому моменту питание зубов естественным образом прекращается, и они самостоятельно выпадают. Когда зачатки постоянных зубов приближаются к корням молочных, процесс ускоряется, поэтому практически синхронно зубные единицы выпадают, а затем прорезываются новые. Сроки рассасывания корней в каждом отдельном случае могут отличаться.
У ребенка режутся зубы: симптомы, признаки, поведение. когда режутся первые зубы у грудничков, младенцев в каком порядке, и в каком возрасте режутся зубы у малышей
Вашему прекрасному малышу почти полгода. Позади период новорожденности, режим дня и кормлений налажен, да и колики уже не мучают. Кроха вовсю проявляет активность и вот-вот начнет ползать. Кажется, наступил замечательный период в жизни его и вашей.
Не расслабляйтесь! Скоро у ребенка начнут резаться молочные зубы, а этот процесс не всегда проходит гладко. Прочитайте статью, чтобы узнать сроки, очередность и симптомы прорезывания зубов у грудного ребенка.
Вы сможете отличить эти симптомы от простуды или кишечной инфекции, научитесь их облегчать.
От врачей «старой закалки» можно услышать, что первые зубы прорезаются у грудничка в возрасте 6 месяцев. Современные педиатры устанавливают диапазон от 4 до 8 месяцев.
Знаменитый доктор Комаровский вообще утверждает, что какие-либо сроки устанавливать несправедливо: один и 2000 малышей рождается с 1-2 зубами, у одного из 2000 их нет до 15-16 месяцев.
Здесь все индивидуально, так как на то, когда у малыша застучит первый зубик, влияет множество факторов:
- Генетика. Если у мамы и папы ребенка зубки начали прорезаться с 3-4 месяцев, вероятно, малыш тоже будет ранним. И наоборот, не стоит переживать, что у девятимесячного крохи до сих пор беззубая улыбка, если у его родителей в этом возрасте было так же.
- Особенности течения беременности. Беременность с патологиями откладывает сроки прорезывания зубов.
- Особенности течения и срок родов. Если малыш родился преждевременно, зубки у него могут начать прорезаться позже. В данном случае, следует учитывать биологический возраст малыша, а не его возраст по свидетельству.
- Болезней у ребенка (из-за некоторых инфекционных заболеваний, перенесенных ребенком, зубы у него могут появиться позже), достаточность его питания, условия климатические, условия проживания, прочее.
ВАЖНО: Если у ребенка в полгода не вылезли первые зубы, вам ни в коем случае не стоит паниковать. При условии здоровья малыша это считается нормой
Для собственного успокоения обсудите этот вопрос с педиатром.
1 и приблизительно 2 000 новорожденных появляется на свет с зубами.
Уже очевидно, что прорезывание зубов у грудничка может быть ранним, то есть таким, которое происходит до полугода (в 2, 3, 4 месяца). Но это не означает, что вам нужно лезть в рот к ребенку, если он, по-вашему, без причины:
- становится беспокойным
- плохо спит
- отказывается от еды
- постоянно тянет в рот игрушки и погремушки
- температурит
- кашляет или подает другие тревожные признаки
Покажите ребенка врачу, в первую очередь, необходимо исключить болезни, а потом уже грешить на ранние зубки.
У ребенка 2, 3, 4 месяцев может появиться первый зуб.
Порядок прорезывания зубов может быть таким же индивидуальным, как и сроки. Но у большинства малышей он все-таки сохраняется. Изучите таблицу на рисунке, чтобы понять, какие зубки режутся первыми, какие и когда ждать после них.
Последовательность прорезывания зубов у ребенка.
Молочные зубы, которые прорезаются последними, — это клыки. В среднем, они появляются у ребенка в 1,5 – 2 года. Опять-таки, в силу индивидуальных обстоятельств это может произойти раньше или позже.
Как же понять, что у ребенка режутся зубы? Этот процесс сопровождается определенными симптомами:
- Ребенок ведет себя беспокойно. Он капризничает без причины, отвлечь его чем-то получается с трудом и ненадолго.
- Малыш может оказываться от еды. Или, наоборот, чаще просить грудь, если он находиться на грудном вскармливании. Мама может заметить, что ребенок как будто бы жует сосок – так он чешет десна.
- У ребенка наблюдается повышенное слюноотделение. Если у крохи появилась выпь вокруг рта или на груди, возможно, это произошло из-за попадания на кожу слюней.
- Ребенок тянет в рот пальцы, игрушки, предметы, кусает соску или ложку. Ему хочется чесать десна.
- Десна малыша припухают, отекают и воспаляются. Иногда под слизистой виднеются белые пузырьки, иногда – синюшные гематомы.
Во время прорезывания зубов ребенок может отказаться от еды.
ВАЖНО: Если вы подозреваете, что зубки у крохи на подходе, не нужно по сто раз в день лезть ему в рот, тем более, грязными или неухоженными руками. Во-первых, ему будет больно и неприятно
Во-вторых, высок риск попадания в организм инфекции.
Чтобы узнать, как могут выглядеть десна грудного ребенка, когда у него режутся зубы.
У ребенка, который только появился на свет, в деснах находятся 20 фолликулов временных зубов. Прежде чем «застучать», они проходят через костную ткань и десна. На это требуется определенное количество времени, строго индивидуальное для каждого малыша. Обычно, процесс прорезывания первых зубов у грудничка занимает от 1 до 8 недель.






