Диагностика и курс лечения

Диагноз пузырчатки ставится ребёнку уже при внешнем осмотре, по виду сыпи. Далее дерматолог может отправить к инфекционисту, который проведёт серологические исследования для выявления антител через анализы крови, кала и ликвора (при подозрении на такие осложнения, как энцефалит или менингит). Может быть назначено цитологическое исследование жидкости внутри пузырей. После подтверждения диагноза проводится соответствующее лечение.
Терапия пузырчатки будет зависеть во многом от того, какая форма заболевания была выявлена у ребёнка.
Вирусная форма
Лечение вирусной пузырчатки предполагает назначение следующих системных препаратов:
- противовирусные: Виферон, Лаферон, Циклоферон;
- глюкокортикостероиды: Дексаметазон, Преднизолон;
- цитостатики останавливают деление иммунных клеток: Сандиммун, Азатиоприн, Метотрексат;
- жаропонижающие: Ибупрофен, Парацетамол, Нимесил, Мефенаминовая кислота;
- антигистамины снимают зуд: Цетрин, Диазолин, Фенистил.
Для наружной обработки поражённых участков кожи могут назначить:
- антисептики: Хлоргексидин, Метиленовый синий, Мирамистин;
- комбинированные препараты из антисептиков и анестетиков: Офлокаин, аптечные болтушки;
- противомикробно-местноанестезирующие средства для орошения полости рта, если вирусная пузырчатка поразила слизистые ребёнка: Фортеза, Орасепт;
- противозудные примочки из сока крапивы, алоэ, масла грецкого ореха.
Так как обычно детей с таким диагнозом лечат в стационарных условиях, для усиления терапевтического курса могут проводиться лечебные процедуры, направленные на очистку крови от антител:
- гемосорбция с применением угольного фильтра;
- плазмаферез — замена жидкой части крови похожими растворами без микробов, иммунных комплексов и антител.
Только врач может сказать, чем лечить вирусную пузырчатку, потому что в каждом отдельном случае она может приобретать какие-то особые черты. Что касается других форм пемфигуса, то терапевтический курс для них тоже определяется индивидуально.
Остальные формы
Основа лечения невирусных форм пузырчатки у детей сводится к назначению следующих препаратов и процедур:
- глюкокортикоиды в высоких дозировках;
- так как они могут вызвать серьёзные побочные эффекты, параллельно назначаются иммуносупрессоры;
- внутривенное введение человеческого иммуноглобулина в высоких дозах;
- введение анти-CD20 моноклонального антитела;
- плазмаферез;
- в особых случаях — антибиотики и противогрибковые лекарства;
- аллотрансплантация костного мозга или стволовых клеток не приветствуется, так как может закончиться летальным исходом, но всё-таки применяется в тех случаях, когда шанс выжить и так минимален.
Учёные до сих пор исследуют эту загадочную болезнь и ищут более эффективные методики, как лечить пузырчатку у детей, чтобы снизить риск осложнений и летальных исходов. Многие лаборатории работают над открытием новых препаратов, которые смогли бы помочь тем, кто страдает от данного недуга.
Родители же могут облегчить состояние своего чада только грамотным уходом и выполнением всех врачебных предписаний.
Профилактика заболевания
Главное направление профилактики – это недопущение развития обострения болезни. Для этого родителям маленького пациента необходимо:
- тщательно выполнять все врачебные рекомендации;
- не прерывать самостоятельно курс лечению глюкокортикостероидами, даже если он очень продолжительный;
- исключить воздействие провоцирующих факторов (ультрафиолетового облучения, определенных медикаментов).
Родителям ребенка, страдающего пузырчаткой, нужно соблюдать несложные правила:
- четко знать, какой внешний или внутренний фактор запускает появление пузырьков и не допускать его воздействия (например, не ходить с ребенком на пляж);
- точно соблюдать все врачебные назначения в период обострения.
Пузырчатка у детей любого возраста требует обязательного и четкого выполнения медикаментозной терапии и некоторой коррекции образа жизни маленького пациента. Тогда можно достичь длительной ремиссии (отсутствия пузырьковой сыпи).
Вы еще не лайкнули?
Ухаживающий за малышом взрослый член семьи должен предпринять меры, уменьшающие вероятность его заражения. То есть необходимо постоянно мыть руки с мылом, желательно носить одноразовую повязку, при нанесении мази на кожу необходимо использовать защитные перчатки.

Чтобы не допустить развития и обострения, а также предотвратить риск заражения других людей вирусной пузырчаткой, необходимо:
- следовать и исполнять все рекомендации врача-дерматолога;
- оберегать ребенка от воздействия УФ лучей;
- соблюдать правила личной гигиены;
- способствовать повышению иммунитета;
- родителю, который ухаживает за больным чадом, и наносит мазь на больные места, следует использовать медицинские перчатки. Это предотвратит риск заразиться самому.
Лечение детской вирусной пузырчатки, независимо от возраста ребёнка, основано на специализированной медикаментозной терапии, и соблюдении определенных мер безопасности.
А зараженный ребёнок, не получив медицинскую помощь, может умереть. Поэтому при проявлении первых симптомов и признаков заболевания, родителям ребёнка в срочном порядке необходимо обратиться за квалифицированной помощью к врачам-специалистам.
Post Views: 1 054
Основы лечения
Лечить вирусную пузырчатку у детей следует так же, как и любую другую болезнь, природой которой является вирус.
Важно! Вирус нельзя убить лекарствами. Такие болезни лечат не врачи, а родители
И время.
Общие рекомендации и уход
Первое, что должны сделать родители при постановке диагноза — обеспечить изоляция больного ребенка от других детей в доме, чтобы не допустить распространения инфекции. Разумеется, ни о каком посещении детских учреждений речи идти не может, а доктора лучше вызывать на дом, поскольку в поликлинике контакт больного с другими малышами может закончиться плохо для последних. Обеспечьте крохе индивидуальное полотенце, проследите, чтобы его посудой и прочими предметами обихода не пользовались другие домочадцы. Тщательно мойте руки после всех контактов с больным.
Комнату, в которой находится малыш, необходимо как можно чаще проветривать и делать в ней ежедневно (лучше дважды в день) влажную уборку. Не поленитесь лишний раз поменять ребенку постельное белье, а, постирав его, тщательно выгладить (помните, вирус долгое время остается на предметах, с которыми контактировал больной). После каждого посещения туалета малыш должен очень хорошо вымыть руки.

А вот ответ на часто возникающий вопрос, можно ли купать ребенка при пузырчатке, скорее отрицательный. Дело в том, что на размокшей коже пузырьки также будут размокать и, таким образом, заживать значительно медленнее, кроме того, любые кожные заболевания инфекционного характера лучше лечить без ванной и душа, чтобы не разносить поражение по телу и, кстати, не оставлять лишние очаги заразы в ванной комнате.
Медикаментозные препараты
Единственные медикаментозные препараты, которые применяются при вирусной пузырчатке, — это жаропонижающие. Детям с этой целью можно давать только два вида лекарств: ибупрофен либо парацетамол
Оба препарата продаются под различными торговыми названиями, обращайте внимание на действующее вещество. Также следует помнить, что высокая температура опасна не только для ребенка, но и для вируса, который обосновался в его клетках
По этой причине традиционно не рекомендуется давать малышу жаропонижающие, если ртутный столбик на термометре не достиг отметки 38 °C.
Знаете ли вы? Самые большие по размеру вирусы — мамавирусы, их особенностью также является то, что они способны заражать другие вирусы.

Правила питания
Гораздо важнее организовать малышу правильный режим питания, ведь данное заболевание не просто сопровождается полным отсутствием аппетита, а вызывает у ребенка стойкое нежелание есть и пить. Что касается еды, в первые, наиболее сложные дни больного целесообразнее оставить в покое. Поймите, ему действительно больно. Ничего критического в небольшом курсе голодания в данном случае не произойдет, а вот причинять и без того ослабленному организму дополнительные эмоциональные травмы точно не стоит. В качестве компромисса постарайтесь уговорить малыша съесть жидкую вязкую кашку, овощное пюре или суп, но пища ни в коем случае не должна быть горячей, это только усилит болезненные ощущения.
Довольно распространены и такие неприятные инфекции как: ротавирусная, кишечная и цитомегаловирусная.
Холод очень хорошо купирует боль. Дайте ребенку мороженое — это поднимет настроение малышу и, возможно, он не откажется от такого необычного лекарства. С той же целью можно использовать замороженные соки, но если делаете подобные лакомства сами, постарайтесь приготовить их так, чтобы в готовых «ледышках» не было острых уголков: колотый лед царапается, а для раздраженного неба это совершенно ненужно. По той же причине нужно избегать кислых, соленых и газированных напитков.

Предпосылки образования пузырчатки у детей
На образование кожи, способной противостоять внешней среде, уходит долгих девять месяцев жизни ребёнка в материнской утробе. Прямым родственником кожи является головной и спинной мозг. Кожный покров плотный, состоит из трёх частей. Самым верхним является эпидермис, который находится в непосредственном контакте с дружественными и болезнетворными микробами и другими внешними факторами. Работу по амортизации механических воздействий выполняет средний слой кожи — дерма. Её внутреннее строение во многом схоже с переплетёнными прутьями корзин или мебели. Запасает тепло нижний слой кожи — гиподерма, состоящая из скопления жировой ткани.


Кожа человека состоит из трёх слоёв
Особенностью кожи, в том числе детской, является её способность к ороговению. В эпидермисе ежедневно образуются роговые чешуйки, которые затем покидают его поверхность. На место отживших свой срок чешуек приходят новые, благодаря чему кожа постоянно обновляется. Между слоями кожи находятся нервные окончания, благодаря которым ребёнок с рождения способен осязать окружающий мир.


Эпидермис образован несколькими слоями клеток
Пузырчатка — распространённая болезнь у детей, основным признаком которой является образование на коже пузырей различных форм и размеров. Этому заболеванию подвержены все периоды детства. Пузырчатка встречается среди новорождённых и грудных младенцев, малышей раннего возраста (до 3 лет), дошкольников, школьников и подростков. Такая распространённость проблемы обусловила необходимость разработки новых эффективных методов борьбы с патологией.
Как происходит лечение у беременных
В отличие от вирусных патологий таких, как оспа и ветрянка, пузырчатое заболевание для беременных женщин не так опасно.
Однако при возникновении этой болезни увеличивается риск преждевременных родов. В то же время, статистика выкидышей и мертворожденных остается на том же уровне.
Ярко выраженными областями пузырчатки у беременных женщин считаются – живот, спина, ягодицы. При этом очаг распространения инфекции начинается с пупка.
Изначально пузырчатка у беременных женщин схожа с симптомами герпеса. По истечении некоторого времени болезнь приобретает более тяжелый характер.
Чтобы остановить прогрессирование болезни и устранить ее симптомы, лечение пузырчатки у беременных женщин необходимо проводить с профильным эпидемиологом. Только он сможет правильно подобрать комплексную терапию, включающую безопасные стероиды и антибактериальные препараты, которые будут менее безопасны для плода.
Причины болезни
Истинные и точные причины возникновения пузырчатки до конца не установлены как у взрослых, так и у детей различного возраста. В настоящее время рассматриваются несколько теорий развития этой болезни:
- наиболее вероятна аутоиммунная – организм человека начинает выработку антител к собственным тканям, что запускает процесс уничтожения этих тканей и органов, в результате наблюдается отслаивание поверхностных и/или же глубоких слоев кожи и слизистых оболочек;
- эндокринная – кожные повреждения обусловлены дисбалансом гормональной регуляции;
- нейрогенная – патологические процессы связаны с нарушением периферической иннервации;
- инфекционная (вирусная и бактериальная) – формирование пузырей провоцирует неизвестный в настоящее время инфекционный агент.
Каждая из этих теорий не может в полной мере объяснить причину отслаивания (акантолиз) поверхностных или же более глубоких слоев эпителия. Этот момент не позволяет назначить эффективное и полноценное лечение пузырчатки, а также прогнозировать ее течение.
Чтобы понимать, что такое пузырчатка и как вылечить определенную ее форму, необходимо знать характерные особенности отдельных видов болезни.
Причины

Точные причины возникновения пузырчатки у детей не выяснены. Учёным так и не удалось узнать, почему нарушаются аутоиммунные процессы. Под влиянием неизвестных факторов организм активизирует выработку антител на собственные клетки.
За годы исследования патологии было выдвинуто немало версий на основании анализов биологической жидкости, крови, изучения характера поражений. Самыми достоверными, имеющими право на существование, не лишёнными логики, стали 4 теории, объясняющие возникновение патологии.
- Нейрогенная теория: нарушения ЦНС.
- Эндокринная: гормональная разбалансировка.
- Инфекционная: вирусное или бактериальное инфицирование агентом, не известным науке.
- Аутоиммунная: организм вырабатывает антитела, уничтожающие его собственные клетки.
Большинство учёных поддерживают именно аутоиммунную теорию происхождения пузырчатки, потому что в крови заболевшего ребёнка легко обнаруживаются эти самые антитела. Вопрос в том, почему организм начинает себя так странно вести.
Медики называют следующие факторы, которые могут привести к такому развитию событий:
- наследственность;
- инфицирование эндогенными бактериями.
Последние попадают в организм контактно-бытовым или воздушно-капельным путём. Получается, что пузырчатка — заразное заболевание, но почему оно настолько редкое?
Учёные предполагают, что возбудитель не всегда заставляет организм уничтожать собственный эпителий. Скорее всего, он просто дремлет и делает человека обычным носителем. Патология часто диагностируется у деток разного возраста, потому что их иммунная система ещё не сформирована и не может защититься от таких атак.
Согласно этой теории бактериального инфицирования, взрослый может заразиться пузырчаткой от ребёнка посредством самого обычного контакта. Поэтому изоляция при таком диагнозе — вынужденная необходимость. Течение болезни во многом определяется её формой, так как в педиатрии различают несколько разновидностей пемфигуса.
Диагностика
Как это ни удивительно, при вполне характерных симптомах диагностика пузырчатки часто вызывает определенные проблемы. В частности, ее иногда путают с:
- ветряной оспой (пузырьки появляются очень быстро и внешне очень похожи на те, что возникают при ветрянке, кроме того они иногда так же сильно зудят);
- ангиной (ребенок жалуется на боль в горле и отказывается от еды и питья);
- диатезом и другими кожными заболеваниями.
Важно! И ветрянка, и пузырчатка имеют вирусную природу, однако в первом случае речь идет о разновидности герпеса, во втором — об энтеровирусе. Правильно поставленный диагноз в данном случае очень важен, поскольку вирус герпеса — едва ли не единственный представитель этого вида микроорганизмов, который успешно лечится медикаментозным способом
Между тем, ацикловир, помогающий при ветрянке, против пузырчатки абсолютно бессилен.
В частности, отличительной особенностью «пузырчатых» волдырей являются:
- их размеры — не более 3 мм (при ветрянке они бывают намного больше);
- форма — овальная либо вытянутая;
- содержимое — как правило, прозрачное, но внутри всегда находится жидкость;
- если вскрыть такой пузырек, в его середине видна белая точка, а вокруг кольцом расположен ободок красного цвета;
- зуд при пузырчатке присутствует не всегда (в отличие от ветрянки).

Вирусная пузырчатка
Вирусная пузырчатка — ещё одна болезнь, течение которой сопровождается появлением на коже пузырей. Этой патологии подвержены как взрослые, так и дети. Поскольку болезнь заразна, она может давать вспышки внутри одной семьи или закрытого коллектива (школа, детский сад). Передача вируса происходит воздушно-капельным путём, при пользовании общей посудой, полотенцами, посредством поцелуев и рукопожатий. При этом у человека-источника инфекции ещё может не быть явных проявлений болезни.
Причина вирусной пузырчатки — заражение энтеровирусом. Этот микроорганизм имеет несколько подвидов, которые вызывают болезнь у человека. В ряде случаев вирус вызывает только кожные проявления, в других в процесс вовлекаются внутренние органы и слизистые оболочки. С момента заражения до появления первых симптомов проходит от 3 до 6 дней (инкубационный период).


Энтеровирус — распространённая причина заболеваний у детей
Симптомы вирусной пузырчатки — таблица
| Кожные симптомы инфекции | Общие симптомы инфекции |
|
|
Диагностика вирусной пузырчатки — задача врача-инфекциониста. Специалисты используют следующие методы обследования:
- первичный осмотр кожного покрова и слизистых позволяет заподозрить вирусную пузырчатку;
- при подозрении на энтеровирусную инфекцию обязателен осмотр невролога, поскольку вирус может поражать спинной и головной мозг;
- анализ крови позволяет выявить антитела, которые были образованы иммунными клетками в ответ на внедрение в организм вируса. С этой целью используется метод ПЦР.
Вирусную пузырчатку необходимо отличать от других похожих заболеваний:
- ветряной оспы. Причина этой болезни — чрезвычайно заразный вирус Varicella zoster из семейства герпесвирусов. Для ветряной оспы характерна лихорадка, а также поражение всего кожного покрова мелкими пузырьками. Заболевание затрагивает и слизистые оболочки. Высыпания происходят в течение нескольких суток. Все это время человек считается заразным. Ветрянка не поражает ладони и подошвы;
- тонзиллита, вызванного бактерией стрептококком (ангины);
- истинной пузырчатки;
- неакантолитической пузырчатки;
- герпетиформного дерматита Дюринга;
- синдрома Стивенса-Джонсона;
- синдрома Лайелла.
Лечением вирусной пузырчатки занимается врач-инфекционист. Специалисты назначают следующие препараты:
- основа терапии — противовирусные препараты (Виферон, Циклоферон, Интерферон). Эти лекарства помогают бороться с вирусом, проникшим внутрь клеток;
- назначение антибиотиков оправдано в том случае, если к сыпи на коже присоединилась бактериальная инфекция (стрептококк, стафилококк). С этой целью назначаются препараты Ампициллин, Цефтриаксон, Сумамед, Меронем;
- для ликвидации общих симптомов болезни используются нестероидные противовоспалительные средства: Парацетамол, Нурофен, Ибупрофен. Эти препараты отлично справляются с лихорадкой и воспалением;
- поддержка иммунитета — важная часть борьбы с вирусом. С этой целью специалисты назначают иммуномодуляторы: экстракт эхинацеи, Тимоген, Т-активин.
Симптомы болезни
Во-первых, такое течение болезни чревато осложнениями, потому что лечение будет назначено не вовремя. И во вторых, болезнь проявит себя уже на самой тяжелой стадии и потребуется намного более серьезное лечение.
К основным симптомам (признакам проявления) относят:
- Слабость, повышенная утомляемость. До того, как на теле у малыша появятся волдыри, он может пожаловаться родителям на слабость, ему будет хотеться прилечь, посидеть, вместо того, чтобы бегать во дворе со сверстниками или играть в активные игры
- Головная боль. Не все детки могут точно описать этот симптом, особенно маленькие. Но понять о том, что их это мучает можно по одному проявлению. Во время сна малыш будет постоянно вертеться головой о подушку. Как будто ему что-то мешает, и даже постанывать
- Пузырьки на теле. Причем нет особой локализации появившихся высыпаний, они могут быть как на ручках, на ножках, так и во рту. Каждый из появившихся пузырьков внутри будет наполнен прозрачной жидкостью, и иметь ровную форму
- Повышение температуры тела, которое происходит в момент появления волдырей на теле малыша. Как правило, температура спадает очень быстро, но многие родители отмечают, что она может держаться день или два на уровне 38 градусов, а то и выше (в зависимости от иммунитета ребенка)
- Зуд и жжение, особенно после того, как волдырь лопнул
- Появление язвочек и ранок на месте волдырей. Из-за того, что кожица, которая покрывает волдырь, очень хрупкая, они быстро лопаются. И на месте пузырька появляется ранка, которая может сильно болеть, особенно если это произошло в ротовой полости

Иногда даже детки отказываются от еды только по одной причине – из-за лопнувших пузырьков во рту.
У самих пузырей есть несколько особенностей, вернее характерных признаков:
- Появившиеся волдыри не будут больше 3 мм в диаметре (это касается и кожи и ротовой полости)
- После вскрытия оболочки будет видна белая точка, окруженная красным ободком
На самом деле, отличить вирусную пузырчатку от любого другого заболевания очень легко, главное вовремя показать малыша специалисту.
Акантолитическая пузырчатка
Акантолитическая пузырчатка — группа кожных заболеваний у детей, объединённых рядом признаков:
- длительное течение болезни;
- поражение кожного покрова на большой площади;
- склонность пузырей к слиянию;
- роль иммунитета в возникновении болезни;
- расположение пузырей внутри эпидермиса.
Среди всех кожных болезней истинная пузырчатка встречается в одном проценте случаев. Дети заболеванием страдают гораздо реже взрослых. Девочек болезнь поражает чаще, чем мальчиков. Существует несколько разновидностей акантолитической пузырчатки:
- обыкновенная или вульгарная пузырчатка;
- вегетирующая пузырчатка;
- листовидная пузырчатка;
- себорейная или эритематозная пузырчатка.
Среди всех этих разновидностей у детей чаще встречается вульгарная пузырчатка, на втором месте находится себорейная. Вегетирующая и листовидная отмечаются крайне редко.
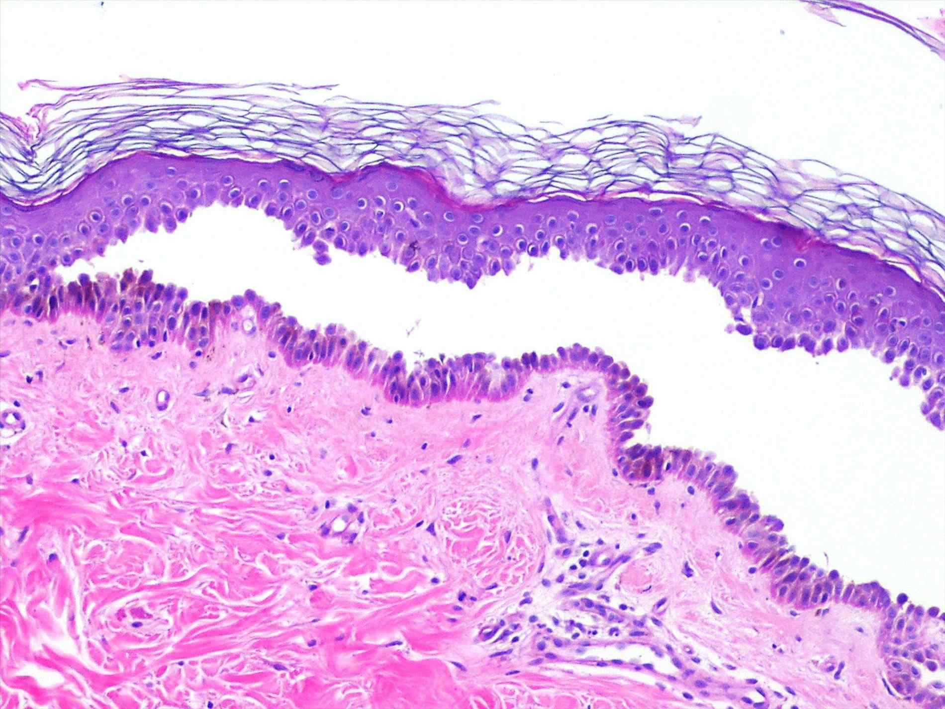
В настоящее время основной причиной акантолитической пузырчатки считается агрессия собственной иммунной системы. В обычных условиях иммунные клетки патрулируют территорию организма и никогда не трогают родные ткани и органы. Причину, по которой эпидермис воспринимается иммунитетом как чужеродный объект, ещё предстоит установить учёным. Однако механизм развития пузырей на коже в настоящее время известен. Иммунные клетки лимфоциты образуют специфические средства борьбы с эпидермисом — антитела. Их воздействие на кожный покров приводит к разобщению слоёв эпидермиса — акантолизу. Между ними мгновенно оказывается тканевая жидкость и формируются пузыри. Заразиться такой формой пузырчатки от другого человека нельзя.


Акантолиз — причина образования пузырей при истинной пузырчатке
Симптомы пузырчатки, несмотря на объединяющий признак — наличие пузырей — несколько различаются в зависимости от разновидности болезни.
Симптомы истинной пузырчатки — таблица
| Разновидность истинной пузырчатки | Преимущественная локализация пузырей | Размер и форма пузырей | Эволюция пузырей | Поражение слизистых оболочек |
| Вульгарная пузырчатка |
|
|
| Характерно |
| Вегетирующая пузырчатка |
| Дряблые пузыри |
| Характерно |
| Листовидная пузырчатка | Вся площадь кожного покрова |
|
| Не характерно |
| Эритематозная (себорейная) пузырчатка |
|
|
| Характерно |
Внешний вид кожи при истинной пузырчатке — фотогалерея
В диагностике пузырчатки используются следующие методы:
- внешний осмотр кожи позволяет заподозрить диагноз истинной пузырчатки;
- анализ крови на антитела позволяет установить иммунную природу болезни;
- изучение участка кожи под микроскопом позволяет выявить акантолиз.
Истинную пузырчатку необходимо отличать от других кожных болезней, сопровождающихся появлением очагов покраснения и пузырей:
- многоформной экссудативной эритемы;
- болезни Дарье;
- синдрома Лайелла;
- акантолитического дерматоза Гровера.
Основой лечения пузырчатки являются специфические лекарства — гормоны и цитостатики. Первая группа препаратов чрезвычайно эффективна при болезнях, основным компонентом которых является воспаление. Стероидные гормоны (Преднизолон, Гидрокортизон, Дексаметазон) блокируют влияние антител на кожный покров и ликвидируют акантолиз. Цитостатики (Метотрексат, Циклофосфамид) непосредственно влияют на иммунные клетки лимфоциты и блокируют собственно образование антител. В дополнение к основному лечению назначаются следующие препараты:
- витамины группы В;
- аскорбиновая кислота;
- рутин;
- оротат калия;
- панангин.
Эти лекарства значительно улучшают обмен веществ в поражённой коже. В очагах, образовавшихся после вскрытия пузырей, часто развиваются микробы. Для бактерий обнажённая дерма, кровь и тканевая жидкость являются идеальной средой обитания. Для борьбы с ними специалисты назначают антибиотики (Ампициллин, Цефтриаксон, Кларитромицин, Меронем). Для наружного лечения пузырчатки используются мази, кремы и лосьоны, содержащие стероидные гормоны. Физиолечение также позволяет успешно бороться с пузырями и присоединением инфекции с помощью процедур лазеротерапии, ультрафиолетового облучения.






